位置 :主页 >>考试资讯

【必考】解剖知识点—皮肤

点击次数:   更新时间:20/04/25 17:07:04     来源: 分    享:

第一节 皮肤

一 结构:


皮肤覆盖于动物体表,在天然孔(口裂、鼻孔、肛门和尿生殖道外口等处)与粘膜相延续。皮肤一般可分为表皮、真皮和皮下组织3层。


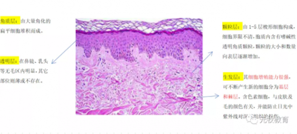
(一)表皮:为皮肤最表面的结构,由复层扁平上皮构成,无血管和淋巴管,有丰富的神经末梢。主要由角质形成细胞组成,并含有三种散在于角质形成细胞之间的非角质形成细胞,即黑素细胞郎格汉斯细胞梅克尔细胞。





(二)真皮:致密结缔组织构成,为皮肤中最厚的一层,由浅入深可分成乳头层网状层,其中含有丰富的血管、淋巴管和神经,能营养皮肤并感受外界刺激。此外,真皮内还有汗腺、皮脂腺、毛囊等结构。皮革为真皮鞣制而成,临床上进行皮内注射就是把药液注入真皮层内


(三)皮下组织:由疏松结缔组织构成,又称浅筋膜

马、牛、羊颈侧部的皮下组织较发达,是常用的皮下注射位。



皮肤衍生物


(一)毛:蹄、枕、角、毛、皮肤腺(汗腺、皮脂腺、乳腺)。


(二)角:

1.组成:角尖、角体、角根。

2.结构:表皮和真皮组成,而缺乏皮下组织。母鹿无角,公鹿有角。公鹿角一般每年脱落一次。新长出的角较软,有细毛,布满血管,称为茸角(即鹿茸),以后逐渐变硬,茸皮毛干枯脱落。鹿角的叉数随年龄的增长而增多。



(三)皮肤腺:

1.皮脂腺。位于动物体的皮肤内,除了角、蹄、母畜乳头和鼻镜等处外,均有皮脂腺分布。皮脂腺能分泌皮脂,可润滑皮肤,保护被毛。皮脂腺是简单的泡状腺,位于真皮的毛囊附近,多开口于毛囊,少数直接开口于表皮。绵羊的皮脂常与汗液混合形成脂汗,能使羊毛具有柔软、坚韧、光泽等特征。

2.汗腺。是位于真皮内的(有时可深达皮下组织)盘曲的单管状腺,能连续不断地分泌汗液,排泄管多开口于毛囊,或直接开口于皮肤表面。牛的汗腺以面部最显著,羊的汗腺较均匀地分布于全身,水牛和山羊的汗腺很少,几乎不分泌汗液。汗液能帮助机体散热及排出代谢产物。




技术支持:山东汇聚科技
咨询热线